
En Alvarado Dental Clinic somos una clínica de referencia en implantes dentales en Valencia. Nuestro equipo, liderado por el Dr. Miguel Alvarado, está especializado en implantes basales de carga inmediata que permiten ofrecer dientes fijos en 7-10 días, incluso en pacientes con poco o ningún hueso, sin injertos óseos ni elevación de seno maxilar.
Esta forma de trabajar es posible gracias a ABIL System, una técnica propia y patentada desarrollada por el Dr. Alvarado que utiliza implantes basales monofásicos y protocolos de carga inmediata para rehabilitar bocas completas de manera mínimamente invasiva.
En resumen, nuestros implantes dentales en Valencia se caracterizan por:
¿Qué es ABIL System?
ABIL System, creado por el Dr. Miguel Alvarado, transforma el campo de los implantes dentales al aprovechar las ventajas de los implantes basales. Estos implantes se integran directamente en el hueso basal, una zona cortical muy densa que no se reabsorbe con el tiempo. De este modo se consigue una estructura de anclaje sólida y estable, ideal para pacientes con pérdida significativa de hueso sin necesidad de cirugías complementarias.
Beneficios de ABIL System
En Alvarado Dental Clinic no solo ofrecemos una técnica avanzada y única en implantes dentales, sino que también nos comprometemos a proporcionarte una experiencia personalizada, cercana y transparente. Si estás valorando implantes dentales en Valencia y buscas una solución segura, rápida y en manos de expertos, estaremos encantados de estudiar tu caso y explicarte todas las opciones.
★★★★★
Implantes dentales · Trato cercano
Puri L.
«Desde que llegué a la clínica Alvarado me sentí súper cómoda. El doctor es muy cercano y me infundió mucha paz, y el equipo son mujeres maravillosas. Estoy encantada con el resultado que han conseguido. Gracias a todos.»
★★★★★
Implantes basales · ABIL System
Eva P.
«Acudí a la clínica Alvarado tras varios tratamientos para dar solución definitiva a mi problema. Encontré un equipo profesional que me transmitió confianza desde el primer momento. El resultado de la intervención ha sido fantástico y estoy muy contenta con cómo está quedando todo. Gracias a Miguel y a todo el equipo por su amabilidad y profesionalidad.»
★★★★★
Implantes dentales · Sinceridad y seguimiento
Isaura A.
«Conocí Alvarado Dental Clinic por medio de una amiga. Tenía bastantes problemas con mis dientes y, después de pasar por varias clínicas, me decidí por esta. Lo que más me gustó fue su amabilidad y sinceridad respecto a lo que podían hacer por mí, y saber que si tengo algún problema estarán ahí para ayudarme. Estoy en proceso de finalizar mi tratamiento y muy contenta con el resultado.»
★★★★★
Restauración completa · Implantes basales
Rasa L.
«Decidí arreglar por fin mis problemas dentales y, después de mirar y comparar, terminé en la clínica del Dr. Miguel Alvarado: la mejor decisión que pude tomar. Me hicieron una restauración completa con implantes basales y el sistema ABIL. La cirugía fue sin dolor, con muy pocas molestias, y en pocas semanas ya tenía todo terminado. He recuperado la función para comer con normalidad y, sobre todo, la confianza para sonreír sin complejos. El doctor transmite mucha seguridad y el equipo es cercano y atento. Me he sentido realmente cuidada y la recomiendo con todo el corazón.»
★★★★★
Implantes en 1 día · Sin miedo
Ani G.
«Conocí al Dr. Alvarado a través de una amiga. Tenía pánico al dentista y la boca en muy mal estado, pero nada de lo que temía ocurrió. Me quitaron todos los dientes el mismo día, salí con provisionales y en 7 días tenía mis dientes definitivos, sin dolor ni molestias importantes siguiendo sus indicaciones. El equipo es maravilloso y estuvieron pendientes de mí todos los días. También me dieron solución al bruxismo. Hoy voy al dentista con tranquilidad porque sé que estoy en las mejores manos. Una clínica de diez.»
★★★★★
Implantes y coronas en 1 día
Emilia V.
«Excelente clínica. El doctor Miguel y todo su equipo son grandes profesionales, además de la calidad humana y el cariño con el que te tratan. Tenía mucho miedo al dentista y aquí me lo quitaron desde el primer día. En una sola sesión me hicieron extracciones, implantes y coronas provisionales, y en pocos días ya tenía los dientes definitivos, sin dolor, hematomas ni inflamación. Han cambiado mi vida: ahora puedo sonreír sin complejos.»
Si quieres saber si eres candidato a este tipo de implantes de carga inmediata, te recomendamos solicitar una primera visita sin compromiso donde realizaremos un estudio completo y te explicaremos, con tu TAC 3D, todas las posibilidades de tratamiento.



























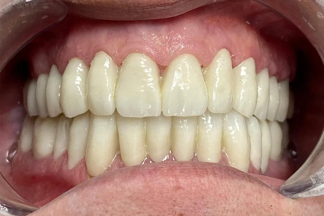
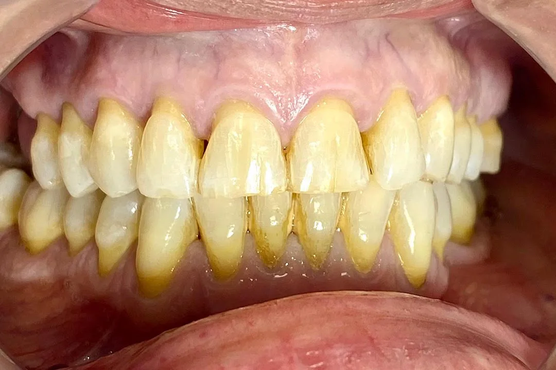
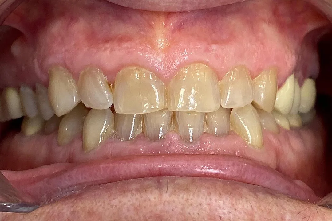
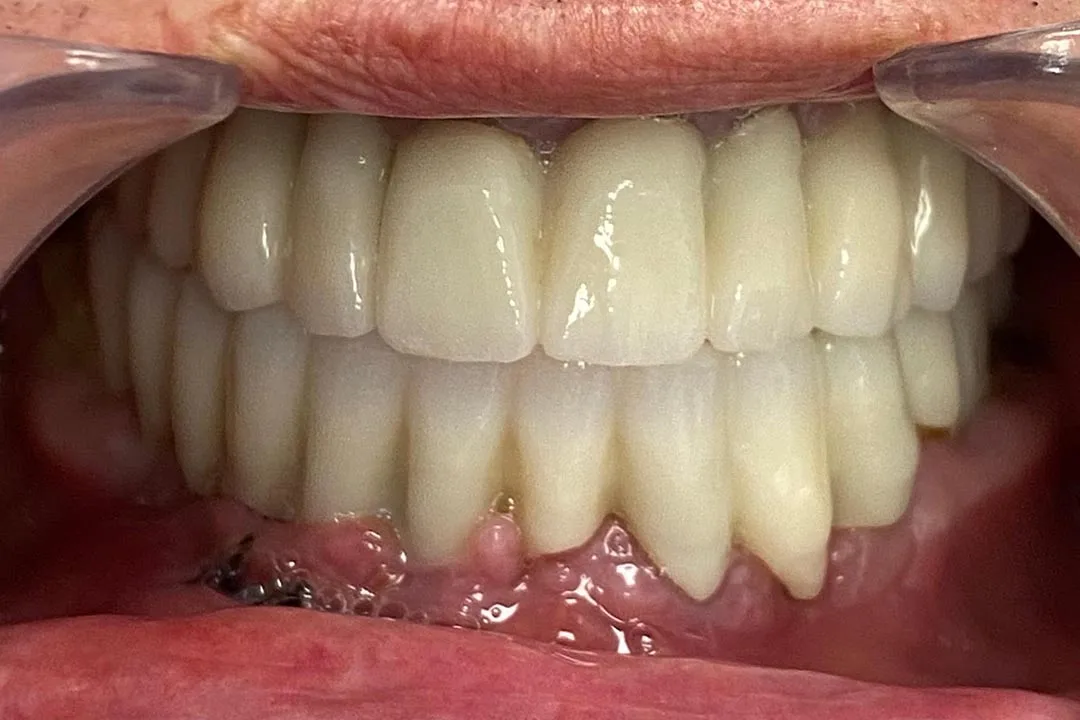
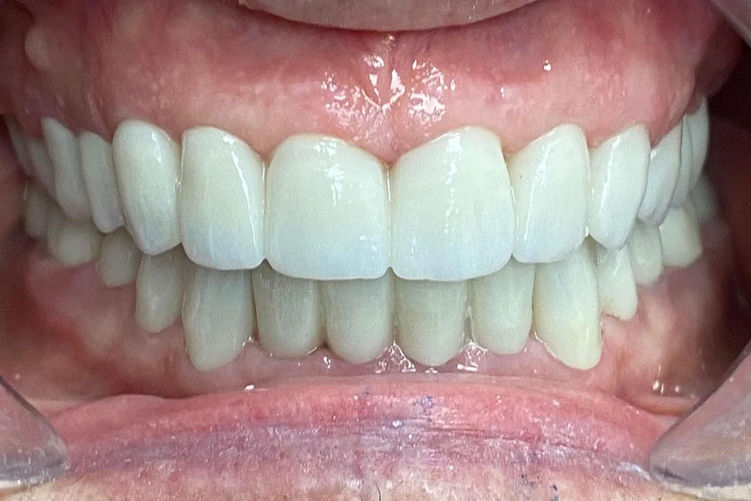
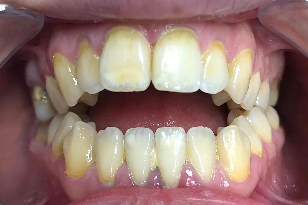
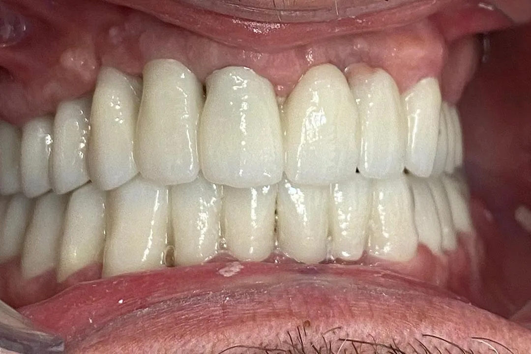
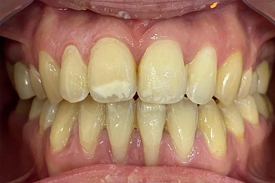
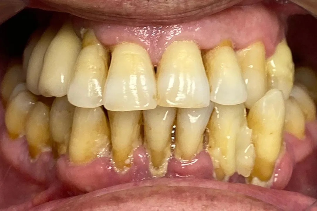
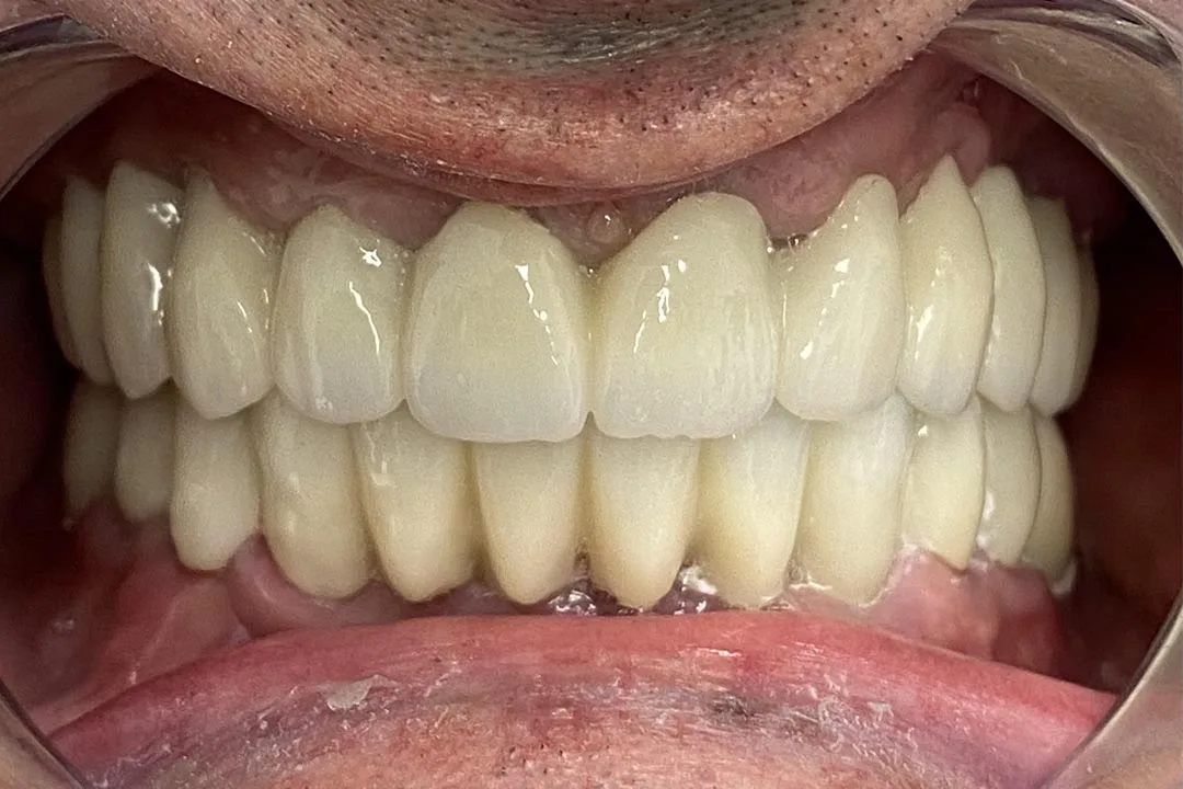
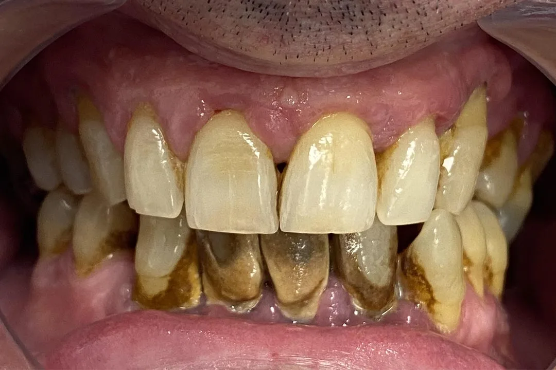
Estos casos clínicos muestran rehabilitaciones completas y parciales con implantes dentales y ABIL System. En todos ellos, los pacientes recuperan una función masticatoria estable y una sonrisa estética en un corto espacio de tiempo, sin necesidad de injertos óseos ni elevaciones de seno. Durante tu primera visita te enseñaremos casos similares al tuyo para que puedas ver qué tipo de resultado esperar.
En Alvarado Dental Clinic entendemos que la inversión en tu salud dental es una decisión importante. Por eso, nos esforzamos por ofrecer precios transparentes y ajustados a cada caso para nuestros tratamientos de implantes dentales en Valencia, incluyendo el innovador ABIL System.
Transparencia en precios de implantes:
Opciones de financiación flexibles en implantes dentales:
Si quieres conocer el coste de tus implantes dentales en Valencia, te invitamos a solicitar tu consulta inicial y recibir un presupuesto personalizado según tu caso concreto.
Primera visita y estudio de implantes sin compromiso. Cuéntanos tu caso y te asesoraremos personalmente.
En Alvarado Dental Clinic creemos que una comunicación clara y transparente es esencial para una experiencia positiva y resultados exitosos. A continuación te explicamos nuestro proceso paso a paso de implantes dentales con ABIL System en Valencia y los cuidados que debes tener después del tratamiento.
1. Consulta inicial y evaluación:
2. Planificación del tratamiento:
3. Procedimiento de implante:
4. Fase de recuperación y seguimiento:
5. Colocación de la prótesis definitiva:
6. Cuidados post-implante y revisiones:
En Alvarado Dental Clinic tu comodidad y satisfacción son nuestras prioridades. Nuestro objetivo es ofrecerte un tratamiento de vanguardia con ABIL System y acompañarte a largo plazo para que disfrutes de tu nueva sonrisa durante muchos años.
En Alvarado Dental Clinic, la excelencia en implantología dental es nuestra pasión y compromiso. Nuestro equipo, liderado por el Dr. Miguel Alvarado, se compone de especialistas altamente cualificados con amplia experiencia en implantes basales y rehabilitaciones de carga inmediata. Combinamos años de experiencia, formación avanzada y un enfoque muy personalizado para que cada paciente reciba un tratamiento de la más alta calidad y atención meticulosa.
Completa nuestro formulario de contacto para obtener más información o para reservar tu consulta inicial con nuestros expertos en implantes dentales en Valencia. Estamos aquí para responder tus preguntas y guiarte en cada paso del camino.
Antes de decidirte por tus implantes dentales en Valencia es normal que te surjan muchas preguntas. Aquí encontrarás respuestas claras y detalladas sobre los distintos tipos de implantes, el proceso, los cuidados y las particularidades de nuestra técnica ABIL System.
Las rehabilitaciones con implantes tienen la mayor tasa de supervivencia en comparación con cualquier otro tipo de tratamiento dental.
Los tipos de implantes según su relación con el hueso, diferenciamos dos tipos de implantes:
Los implantes que no penetran en el hueso, sino que recubren su superficie se llaman yuxta-óseos, son elementos metálicos introducidos bajo la mucosa y reposan sobre el hueso de los maxilares y fijados con microtornillos, prácticamente no se utilizan demasioado.
Los implantes endo-óseos son los que más se utilizan actualmente, van anclados dentro del hueso y son firmes y resistentes y conforman una solución a largo plazo. Existen también los implantes basales los cuales van al hueso basal y se evita hacer con ellos injertos de hueso.
Los implantes son herramientas para poder rehabilitar. Muchas veces es mucho más laborioso levantar la dimensión vertical o cambiar los planos de oclusión. Por lo que el coste de rehabilitar puede variar en función de la necesidad del paciente.
Para no equivocarnos, lo que hacemos en Alvarado Dental Clinic es una primera visita sin ningún tipo de compromiso en la que se estudia cada caso personalizado y se hacen presupuestos a medida. Podemos aventurarnos y decir que trabajamos con materiales de primera calidad y que nuestros precios están en consonancia con lo que ofrecemos. Pensamos que la odontología de calidad tiene que ser para todo el mundo.
No podemos dar una respuesta exacta a esta pregunta ya que va a depender del número de implantes que vayamos a colocar y del paciente que estemos tratando. Si hablamos de la colocación de un implante unitario con su corona provisional inmediata, podemos aventurarnos a decir que en media hora estaría hecha la cirugía. Otra cuestión es cuando realizamos un tratamiento de rehabilitación integral en el que podemos colocar hasta 16 implantes. Influye mucho la colaboración del paciente y sus necesidades o características personales, no es lo mismo operar a un paciente de 30 años que a uno de 80.
Esta pregunta nos la hacen muchos pacientes pero verdaderamente es muy complicada de contestar ya que cada paciente es un mundo.
Los implantes están diseñados para poder llegar a durar toda la vida. Sin embargo, como en tantas otras cosas, su durabilidad dependerá del cuidado, higiene, y cumplimiento con el programa de revisiones.
La mejor garantía es la calidad de los materiales, la experiencia y la técnica que utilicen los profesionales que realizan tu tratamiento y el mantenimiento adecuado.
Categóricamente la respuesta es NO.
Un implante no tiene por qué doler, y si esto pasa, es que algo no está bien. En el momento de la colocación existen hoy en día anestésicos muy buenos que van a permitir al cirujano trabajar con toda la tranquilidad del mundo ya que el paciente va a estar sin dolor y relajado por no sentir absolutamente nada. Una vez colocado el implante, lógicamente hay que tomar algo de medicación y dependerá del tipo de la cirugía y de las condiciones generales del paciente. No es lo mismo colocar un implante que hacer una rehabilitación completa con 16 implantes. En cada caso se tomará más o menos analgesia. El post-operatorio tampoco es doloroso.
Un buen diagnóstico, un estudiado plan de tratamiento y una técnica de cirugía exquisita son las principales premisas para que un tratamiento de implantología tenga éxito. Esto únicamente depende del cirujano y su equipo. En nuestro caso, el procedimiento es sencillo, el mismo día que se coloca el implante, el paciente se va a casa con un provisional con el que puede hacer vida prácticamente normal y a la semana, se le coloca la prótesis definitiva. Lógicamente para llegar a este punto, el doctor ha tenido que hacer una planificación perfecta. Luego también hay que tener muy en cuenta la colaboración del paciente. Para nosotros es muy importante reeducar a nuestros pacientes en cuanto a técnicas de higiene y mantenimiento, ya que los implantes hay que cuidarlos igual o más que a los dientes.
El titanio es el material más utilizado para la fabricación de implantes dentales, se trata de un elemento químico que pertenece al grupo de los metales de transición. Las propiedades físicas son parecidas al acero, posee una gran firmeza y muy baja corrosión. Concretamente los implantes dentales se fabrican con una aleación con aluminio y vanadio que mejora las propiedades físicas sin alterar ni un ápice la bio-compatibilidad. Hoy en día, prácticamente el 95% de implantes dentales se fabrican con titanio.
Se ha demostrado que ser portador de implantes dentales no genera ningún tipo de distorsión en la imagen de una resonancia magnética. El titanio tiene propiedades no magnéticas lo que lo hace compatible con este tipo de pruebas sin ningún tipo de inconveniente ni interferencia en el resultado. Eso sí, siempre es conveniente informar al facultativo que te va a realizar el examen.
Se trata de dos conceptos totalmente diferentes.
Cuando hablamos de implante, estamos refiriéndonos al dispositivo que ejerce de raíz del diente y que va anclado en el hueso maxilar o mandibular. Comúnmente se le llama ‘tornillo’ y se coloca cuando el paciente es edéntulo total o parcial.
Sin embargo la corona se puede colocar tanto en un implante como en un diente natural. En el caso del implante evidentemente la corona es la que va a ejercer de diente, es decir, la parte que se ve y con la que realizamos la masticación. Pero también podemos colocar una corona en un diente natural que necesite una restauración grande o en un diente que esté muy desgastado.
En nuestra clínica somos muy persistentes con nuestros pacientes en lo que se refiere al cuidado posterior a la cirugía.
Siempre decimos que con una buena planificación del tratamiento, una buena técnica implantológica y un exquisito mantenimiento, los implantes son para toda la vida.
Aunque de vital importancia, lo que el paciente tiene que poner de su parte es bastante sencillo de cumplir:
A pesar de que hoy en día prácticamente todas las personas pueden ser portadoras de implantes, sí que es cierto que en algunos casos no es recomendable realizar el tratamiento en algún momento puntual. En este sentido, se debe contraindicar los procedimientos quirúrgicos a pacientes que hayan padecido un infarto de miocardio o un accidente cerebro vascular hace menos de 6 meses, a portadores de prótesis valvular cardíaca o de trasplantes orgánicos hace menos de 6 – 12 meses, a pacientes en tratamiento oncológico o en tratamiento con bifosfonatos intravenosos Y a pacientes con trastornos psiquiátricos ya que pueden no comprender correctamente el propósito del tratamiento. Tampoco es recomendable en personas con problemas de alcoholismo o drogadicción ni en mujeres embarazadas.
AbilSystem es la técnica patentado por el Dr. Miguel Alvarado, que le permite colocar implantes sin realizar injertos de hueso ni elevaciones de seno en pacientes que tienen una ausencia severa ósea (atrofia severa). Está diseñada para solucionar todos los casos por muy atróficos, casos que con la implantología convencional no podrían solucionarse o que requerirían cirugías complementarias, como elevación de hueso o injertos de hueso. Esta técnica busca zonas de anclaje de los implantes en el hueso remanente, que nunca se reabsorbe y que siempre está disponible en los pacientes, el hueso basal. El diseño de éstos implantes está desarrollado anatómicamente para alcanzar las corticales y las zonas de hueso distales que permiten una fijación adecuada y que mediante los protocolos de rehabilitación, pueden solucionar las atrofias más complejas y difíciles en menos tiempo, todo esto de una manera más cómoda para el paciente.
Aunque los beneficios son muchísimos, a veces los implantes pueden fallar o dar ciertos problemas. La buena noticia es que todo se puede solucionar.
Algunas veces surgen problemas recién colocado el implante y las causas más comunes en este caso suelen ser: por una infección postoperatoria, por una mala técnica quirúrgica o por una higiene deficiente.
Si el problema surge en etapas más avanzadas, suele ser debido a una sobrecarga oclusal, por periimplantitis o por infecciones bacterianas.
La respuesta es SÍ.
Durante las últimas décadas se han colocado muchísimos implantes y hay que tener en cuenta que las técnicas no estaban tan avanzadas como hoy en día ni existía la misma aparatología respecto a la imagen como existe ahora. La intervención la deberá realizar un cirujano especialista para preservar la mayor cantidad de hueso posible.
Muchos pacientes fumadores piensan que no pueden ser portadores de implantes. No es del todo cierto. Evidentemente nosotros siempre vamos a aconsejar no fumar o fumar lo mínimo posible, por razones obvias, no solo por los implantes. Siempre va a depender de cada paciente, de la cantidad de tabaco que fume y de la higiene que mantenga,
Tanto el All on four como el All on six, son técnicas de rehabilitación para edéntulos completos en las que se colocan o 4 o 6 implantes en la arcada y sobre ellos, se coloca una dentadura postiza provisional que el paciente deberá llevar durante tres o cuatro meses. Pasado este tiempo, se cambiará la dentadura provisional por una dentadura postiza fija que irá o bien cementada o bien atornillada.
Sin embargo, nuestra técnica para rehabilitar a pacientes edéntulos, AbilSystem, se asemeja muchísimo más a la naturaleza humana. No colocamos dentaduras postizas. Sobre 8 implantes colocamos PRÓTESIS FIJAS. El día de la cirugía colocamos una prótesis fija provisional que el paciente deberá llevar durante una semana, pasado este tiempo se colocará una prótesis definitiva, en algunos casos de metal-cerámica y en la mayoría, de zirconio. NUNCA UNA SOBREDENTADURA, QUE ES COMO UNA DENTADURA POSTIZA.
ABIL SYSTEM no intenta rivalizar con el sistema tradicional bifásico, solo muestra otra manera de realizar la cirugía de implantes de carga inmediata, una manera menos invasiva, menos traumática, sin cirugías complementarias y mucho más rápida.
No hay un límite establecido en cuanto al número de implantes que puede llevar un paciente. Siempre vamos a valorar cada caso individualmente y vamos a tratarlo en consecuencia. Lo que sí aconsejamos normalmente, es hacer las dos arcadas el mismo día, independientemente del número de implantes que necesite.
Existen los implantes bifásicos y monofásicos. Los bifásicos se componen del cuerpo, pilar, tornillo de fijación y tornillo retentivo. Nosotros utilizamos monofásicos, el implante reúne en un solo elemento lo que es el cuerpo y el muñón protésico. Presentan muchas ventajas: evitan realizar segundas cirugías, no se aflojan, ni se desatornillan, ni se rompen. Además están especialmente diseñados para la carga inmediata con lo que se acortan los tiempos y el hueso se reestructura más rápidamente.
El tratamiento de implantología que realizamos en nuestra clínica se puede considerar de cirugía mínimamente invasiva, no necesitamos hacer injertos de hueso, ni elevaciones de seno, no realizamos suturas, ni levantamos colgajo, no hacemos segundas cirugías. El resultado es que el paciente se recupera muchísimo antes y sin prácticamente molestias.
En el caso de los dientes naturales hablamos de periodontitis, que es la inflamación de los tejidos que envuelven al diente. En el caso de los implantes hablaremos de periimplantitis, que es la inflamación de los tejidos que envuelven al implante, produciéndose la pérdida del hueso que soporta dicho implante.
Los principales factores de riesgo para que se produzca una periimplantitis son la formación de colonias de bacterias y la sobrecarga oclusal.
La principal prevención de la periimplantitis es responsabilidad del paciente mediante una higienización correcta de la zona de los implantes, el control de sus enfermedades sistémicas así como los hábitos poco saludables. También de realizar las visitas de control con su odontólogo. La responsabilidad del odontólogo consistirá en realizar los controles establecidos anteriormente y comprobar el buen ajuste y oclusión de la prótesis.
Una parestesia dental se define como un conjunto de sensaciones anormales o distintas de sensibilidad tras una intervención. En la mayoría de los casos son transitorias y reversibles. También en casi todos los casos se dan en el nervio dentario inferior, en el mentoniano y a veces en el lingual. Ayudan a recuperar la normalidad las vitaminas del complejo B.
Actualmente con las nuevas tecnologías y con las técnicas de planificación que disponemos, es poco frecuente que se presenten este tipo de complicaciones pero no podemos olvidar que en cualquier acto quirúrgico puede haber excepciones.
La supresión óptima del dolor total durante el tratamiento odontológico es una medida esencial en la práctica clínica diaria. En la actualidad, ningún tratamiento que se realiza en nuestra consulta resulta doloroso.
Trabajamos con anestesia infiltrativa igual a la que utilizaríamos si fuéramos a realizar un empaste o una extracción, pero para que no se note ni siquiera el pinchacito de la aguja, utilizamos previamente anestesia tópica.
Para manejar la ansiedad de algunos pacientes disponemos también de la sedación consciente. Se trata de un gas inhalatorio que hace que el paciente se sumerja en un estado de bienestar, relajación y tranquilidad que hacen mucho más agradable su tratamiento odontológico.
Lo que no podemos evitar es el sonido del instrumental por lo que tenemos a disposición de los pacientes, auriculares desechables para poder escuchar música, antifaces si lo que le molesta es la cercanía de los profesionales, incluso unas gafas de realidad virtual para que puedan ver su serie o película favorita mientras se están realizando su tratamiento.