Dr. Miguel Alvarado Valencia Centro

Dientes Fijos
en 1 Día

Sales con dientes fijos el mismo día. Tratamiento completo en solo 7 días.

Sin injertos de hueso ni prótesis removible, pensado para casos complejos.

Solicita tu Cita y Diagnóstico Completo

Te respondemos hoy mismo. Diagnóstico digital incluido.

¿Es este tratamiento para ti?

Te ayudamos especialmente si vienes de un recorrido largo de dentistas, prótesis removibles y malas experiencias.

Este tratamiento es para ti si…

  • Llevas años con una prótesis removible que se mueve o te hace heridas.
  • Te han dicho que “no tienes hueso suficiente” para implantes convencionales.
  • Evitas sonreír en fotos o has dejado de comer ciertos alimentos por miedo.
  • Buscas una solución definitiva, no parches temporales.
  • Quieres recuperar dientes fijos en el menor tiempo posible.

No es para ti si…

  • Solo quieres “mirar precios” sin plantearte realmente un tratamiento.
  • Buscas una solución rápida pero no estás dispuesto a seguir las indicaciones médicas.
  • Prefieres mantener tu prótesis actual y no te planteas un cambio a medio plazo.

Si tienes dudas sobre si encajas o no, escríbenos por WhatsApp y te orientaremos tras una primera valoración gratuita.

¿Por qué somos diferentes?

Olvida los tratamientos de meses. Bienvenido a la implantología inmediata.

⏱️

Dientes Fijos en 1 Día

Sales con dientes fijos el mismo día de la intervención. Tratamiento completamente finalizado y definitivo en 7 días.

🦴

Implantes sin injerto de hueso

Si te han dicho que “no tienes hueso”, podemos estudiar tu caso. Los implantes se anclan en zonas donde otros sistemas no llegan.

🛌

Mínimamente invasivo

Sin abrir encía, sin puntos de sutura y con una recuperación muy rápida. La mayoría de pacientes hacen vida casi normal al día siguiente.

Dr. Miguel Alvarado

Dr. Miguel Alvarado

Director Médico y creador del ABIL System®

Con más de 30 años de experiencia y miles de implantes colocados, el Dr. Alvarado ha perfeccionado una técnica que permite rehabilitar bocas completas donde otros especialistas se rinden.

"Mi objetivo no es solo ponerte dientes. Quiero devolverte la seguridad para sonreír y comer lo que quieras desde la primera semana."


WhatsApp Solicita tu Cita y Diagnóstico Completo

Qué incluye tu primera visita

Queremos que salgas de la consulta sabiendo exactamente qué necesitas y cuánto te va a costar.

  • TAC 3D y estudio completo de tu boca.
  • Valoración directa del Dr. Alvarado, especialista en casos complejos.
  • Explicación clara, con imágenes, de tu situación actual.
  • Propuesta de tratamiento paso a paso y calendario orientativo.
  • Presupuesto detallado y opciones de financiación adaptadas a ti.

Si tras el estudio vemos que no eres candidato al tratamiento que ofrecemos, te lo diremos con total honestidad y sin compromiso por tu parte.

¿Y después de la primera visita?

Si decides seguir adelante, nuestro equipo se encargará de coordinar todo para que en una sola semana tengas tus dientes definitivos. Te acompañamos en cada paso: antes, durante y después de la cirugía.

Si todavía estás comparando opciones, puedes llevarte el informe y el presupuesto para valorarlo con calma en casa.

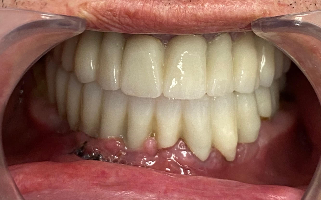
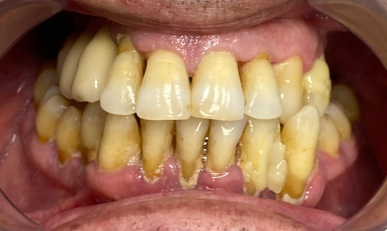
Resultados Reales

Pacientes que recuperaron su sonrisa en tiempo récord.

Antes
Caso 1 Antes
Después (7 Días)
Caso 1 Después

Rehabilitación completa superior. Estética natural.

Antes
Caso 2 Antes
Después (7 Días)
Caso 2 Después

Caso complejo con enfermedad periodontal severa resuelto.

Antes
Caso 3 Antes
Después (7 Días)
Caso 3 Después

Recuperación de función y estética en maxilar y mandíbula.

Desliza para ver más casos →

Lo que dicen nuestros pacientes

⭐⭐⭐⭐⭐

"Llegué con mucho miedo y poca esperanza porque me decían que no tenía hueso. El Dr. Alvarado me lo solucionó en una semana. No sentí dolor. Increíble."

- María J., 62 años

⭐⭐⭐⭐⭐

"Trato excelente. Instalaciones de lujo en el centro de Valencia. Lo mejor fue la rapidez, el lunes me operaron y el lunes siguiente ya tenía mis dientes definitivos."

- Carlos R., 55 años

Preguntas frecuentes

Resolvemos algunas de las dudas más habituales antes de pedir cita.

¿Cuánto cuestan los implantes en 1 día?

El precio depende de cada caso (número de piezas, calidad del hueso, situación inicial…). En la primera visita te damos un presupuesto cerrado y opciones de financiación, sin compromiso.

¿Duele el tratamiento?

La intervención se realiza con anestesia local y, en casos indicados, sedación. La mayoría de pacientes nos comentan que han tenido menos molestias de las que esperaban.

¿Qué pasa si me han dicho que no tengo hueso?

Precisamente nos especializamos en casos con poco hueso. El TAC 3D nos permite valorar si podemos ayudarte con nuestra técnica sin injertos. Si no es posible, te lo diremos con honestidad.

¿En cuánto tiempo puedo volver a hacer vida normal?

Saldrás de la clínica con dientes fijos el mismo día de la cirugía y, salvo indicaciones concretas, podrás hacer una vida casi normal al día siguiente, con ciertas pautas de alimentación.

WhatsApp
WhatsApp Llamar